インプラント症例 上顎前歯1本欠損
上顎前歯を歯根破折で失った患者さんです。

失活歯(神経をとった歯)のさし歯は装着してから数年後に根が折れてしまうことが非常に多くなります。その時点で安易に両隣の歯を使ったブリッジを装着すると、今度は支台の歯が折れてしまう確率が高くなります。
10年後は前歯に入れ歯でしょうか?
欠損部だけにインプラントを入れることが両隣の負担を軽減し、将来の欠損の拡大を予防する最も効果的な方法と思われます。

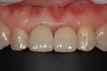
しかし。前歯の場合は「見える」部分ですので、審美的な配慮が重要になります。
この症例では、骨の移植、軟組織の移植、インプラント周囲の骨の安定性に優れているプラットフォームスイッチングタイプのインプラントを選択し、ジルコニアアバットメント、オールセラミッククラウンを装着しました。

非常に良好な結果を得ることができました。
よしたに歯科では、この他にも様々なインプラント治療例をホームページで公開しております。
特に典型的なインプラント症例もご覧いただけます。